
Cataracts / Cataract Surgery
Cataracts are like skin wrinkles in that they are a normal part of getting older. Everyone will get cataracts if they live long enough. Sunlight exposure, medical steroids, trauma and inflammation inside the eye (uveitis) are the major risk factors associated with earlier onset cataracts. In today’s modern society, having cataracts is almost a “blessing in disguise.” (I will explain this a little later on). Cataracts are a clouding of the lens inside the eye. The picture below shows a normal lens on the left and a cloudy lens on the right.


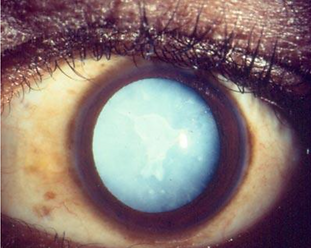
A mature cataract, view from the front

The lens changes shape (or focuses) when we look up close, allowing us to read. As we get older, the lens hardens and we need help focusing up close. This is why we start needing reading glasses about age 44. As we age further, the hardened lens becomes cloudy as well and it is now called a cataract. In order for us to see, light has to go through this cloudy lens. This cloudiness causes a decrease in your corrected vision as well as glare, especially at night. It is very rare to have a cataract cause medical problems by itself so more often than not, we have cataract surgery in order to see better.
Indications for surgery

Cataracts do not have to “ripen” as they did before about 1980. Surgery before 1980 involved taking the whole cataract out in one piece and was easier to do and more likely to improve your vision if the cataract was ripe. Cataracts today are taken out in pieces and are actually easier to take out if the cataract is not ripe. Cataracts do not, with very rare exceptions, have to be taken out for medical reasons. The usual indication for removal is when the cataract decreases your vision to the point that it interferes with your daily activities and you want it taken out. Surgery is the only method available to us to remove cataracts. Until recently, we haven’t used lasers to remove cataracts, but, a true laser, the femtosecond laser is being developed to remove cataracts. This new method promises to be even better than the tried-and-true phaco-emulsification method. (Secondary cataracts are removed with an in-office laser technique). Currently, we remove cataracts using phaco-emulsification which uses a small hollow tube that oscillates back and forth very fast. This sets up waves of energy that break up the cataract into small pieces. The phaco tube then aspirates (sucks) these pieces out of the eye through its hollow middle. Phaco uses much more energy inside the eye than the older techniques, so phaco wasn’t used that much at first. When we developed intra-ocular lenses ( IOL ’s) small enough to take advantage of phaco’s smaller corneal incisions, phaco became widely accepted as the primary removal technique that it is today. Because the incisions are so small, sutures or stitches are not necessary to close the wound and this has been advertised as the no stitch method for cataract surgery.
The formal indications for cataract surgery are:
-
when glasses do not improve vision enough for you to do your activities of daily living
-
better visualization for the doctor to follow retinal diseases
Cataract surgery should not be done when:
-
You do not want it
-
the vision is not expected to improve your vision
-
medical conditions exist that make cataract surgery more risky (recent heart attack, uncontrolled diabetes, recent stroke…).
-
your ability to do everyday tasks are not effected by the cataract
Here is another article on cataracts for you.
Reviewed By Cesar A Briceno, MD, Edited By David Turbert, Published Oct. 09, 2024
A cataract is when your eye's natural lens becomes cloudy. Proteins in your lens break down and cause things to look blurry, hazy or less colorful.
In this article:
Inside our eyes, we have a natural lens. The lens bends (refracts) light rays that come into the eye to help us see. The lens should be clear, like the top lens in the illustration.
Vision Problems with Cataracts
If you have a cataract, your lens has become cloudy, like the bottom lens in the illustration. It is like looking through a foggy or dusty car windshield. Things look blurry, hazy or less colorful with a cataract.

The top lens is a clear, natural lens. The bottom lens shows clouding by cataract.
Video: What Are Cataracts?

Cataracts Symptoms
Here are some vision changes you may notice if you have a cataract:
-
Having blurry vision
-
Seeing double or a ghosted image out of the eye with cataract
-
Being extra sensitive to light (especially with oncoming headlights at night)
-
Having trouble seeing well at night, or needing more light when you read
-
Seeing bright colors as faded or yellow instead
If you notice any of these cataract symptoms, notify your ophthalmologist.

Cataracts can make images appear dull or yellow.

Blurry or dim vision is a symptom of cataracts.

Cataracts can cause distortion or ghost images.
What Causes Cataracts?
Aging is the most common cause. This is due to normal eye changes that begin to happen after age 40. That is when normal proteins in the lens start to break down. This is what causes the lens to get cloudy. People over age 60 usually start to have some clouding of their lenses. However, vision problems may not happen until years later.
Other reasons you may get cataracts include:
-
having parents, brothers, sisters, or other family members who have cataracts
-
having certain medical problems, such as diabetes
-
having had an eye injury, eye surgery, or radiation treatments on your upper body
-
having spent a lot of time in the sun, especially without sunglasses that protect your eyes from damaging ultraviolet (UV) rays
-
using certain medications such as corticosteroids, which may cause early formation of cataracts.
-
smoking
Most age-related cataracts develop gradually. Other cataracts can develop more quickly, such as those in younger people or those in people with diabetes. Doctors cannot predict how quickly a person’s cataract will develop.
You may be able to slow down your development of cataracts.
Protecting your eyes from sunlight is the best way to do this. Wear sunglasses that screen out the sun’s ultraviolet (UV) light rays. You may also wear regular eyeglasses that have a clear, anti-UV coating. Talk with your eye doctor to learn more.
Cataract Diagnosis
Your ophthalmologist will examine and test your eyes to make a cataract diagnosis. This comprehensive eye exam will include dilation. This means eye drops will widen your pupils.

Slit-lamp exam
Slit-lamp exam
Your ophthalmologist will examine your cornea, iris, lens and the other areas at the front of the eye. The special slit-lamp microscope makes it easier to spot abnormalities.
Retinal exam
When your eye is dilated, the pupils are wide open so the doctor can more clearly see the back of the eye. Using the slit lamp, an ophthalmoscope or both, the doctor looks for signs of cataract. Your ophthalmologist will also look for glaucoma, and examine the retina and optic nerve.
Refraction and visual acuity test
This test assesses the sharpness and clarity of your vision. Each eye is tested individually for the ability to see letters of varying sizes.
Once I have a cataract diagnosis, what should I do?
-
Have an eye exam every year if you're older than 65, or every two years if younger.
-
Protect your eyes from UV light by wearing sunglasses that block at least 99 percent UV and a hat.
-
If you smoke, quit. Smoking is a key risk factor for cataracts.
-
Use brighter lights for reading and other activities. A magnifying glass may be useful, too.
-
Limit driving at night once night vision, halos or glare become problems.
-
Take care of any other health problems, especially diabetes.
-
Get the right eyeglasses or contact lenses to correct your vision.
-
When it becomes difficult to complete your regular activities, consider cataract surgery.
-
Make an informed decision about cataract surgery. Have a discussion with your ophthalmologist about:
-
the surgery,
-
preparation for and recovery after surgery,
-
benefits and possible complications of cataract surgery,
-
cataract surgery costs,
-
other questions you have.
-
Cataract Surgery
Here is another article on cataracts for you.
Reviewed By Cesar A Briceno, MD, Edited By David Turbert, Published Oct. 09, 2024
A cataract is when your eye's natural lens becomes cloudy. Proteins in your lens break down and cause things to look blurry, hazy or less colorful.
In this article:
Inside our eyes, we have a natural lens. The lens bends (refracts) light rays that come into the eye to help us see. The lens should be clear, like the top lens in the illustration.
Vision Problems with Cataracts
If you have a cataract, your lens has become cloudy, like the bottom lens in the illustration. It is like looking through a foggy or dusty car windshield. Things look blurry, hazy or less colorful with a cataract.
Cataract Treatment
Cataracts can be removed only with surgery.
If your cataract symptoms are not bothering you very much, you don’t have to remove a cataract. You might just need a new eyeglass prescription to help you see better. You should consider surgery when cataracts keep you from doing things you want or need to do.
How does cataract surgery work?
During cataract surgery, your eye surgeon will remove your eye’s cloudy natural lens. Then he or she will replace it with an artificial lens. This new lens is called an intraocular lens (or IOL). When you decide to have cataract surgery, your doctor will talk with you about IOLs and how they work.
People who have had cataract surgery may have their vision become hazy again years later. This is usually because the lens capsule has become cloudy. The capsule is the part of your eye that holds the IOL in place. Your ophthalmologist can use a laser to open the cloudy capsule and restore clear vision. This is called a capsulotomy.
